Disminuye cisticercosis entre los mexicanos.
• Se presentan pocos casos nuevos y los que tratamos son pacientes que quizá se infectaron hace 20 años: Agnès Odile Marie Fleury, investigadora del IIBm
• Nuestro país es una de las naciones a la vanguardia en la investigación básica y clínica sobre este parásito, aseveró
México podría ser el primero en erradicar la cisticercosis durante el siglo XXI, afirmó Agnès Odile Marie Fleury, investigadora del Instituto de Investigaciones Biomédicas (IIBm) de la UNAM, si continúa a la baja el número de casos de esta enfermedad infecciosa.
La también jefa de la Clínica de Neurocisticercosis en el Instituto Nacional de Neurología y Neurocirugía (INNN), añadió: aunque el problema permanece en las zonas rurales mexicanas, donde se concentran insalubridad y pobreza, se reciben menos pacientes en el hospital y los casos nuevos son personas adultas que se infectaron hace 20 años.
En 2015 la Organización Mundial de la Salud (OMS) la consideró como la principal enfermedad transmitida por alimentos en esas áreas, y su presencia es un marcador de pobreza, explicó en la conferencia “México: ¿Primer país en erradicar la cisticercosis en el siglo XXI?”, como pate de las actividades del “Mes de México. Esplendores de ayer y hoy”.
“Si bien, ningún país del mundo ha logrado erradicar esta parasitosis desde hace más de 50 años, hoy se observa una disminución significativa de los casos en México, país que podría ser el primero en erradicar este padecimiento en este siglo”, comentó Fleury quien también dijo que es una enfermedad endémica en la mayoría de los países de América Latina, el sudeste asiático y África subsahariana.
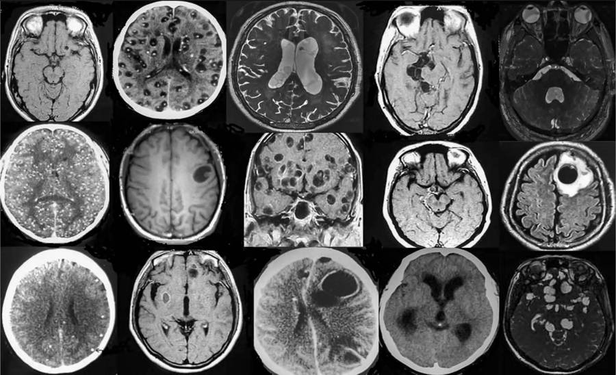
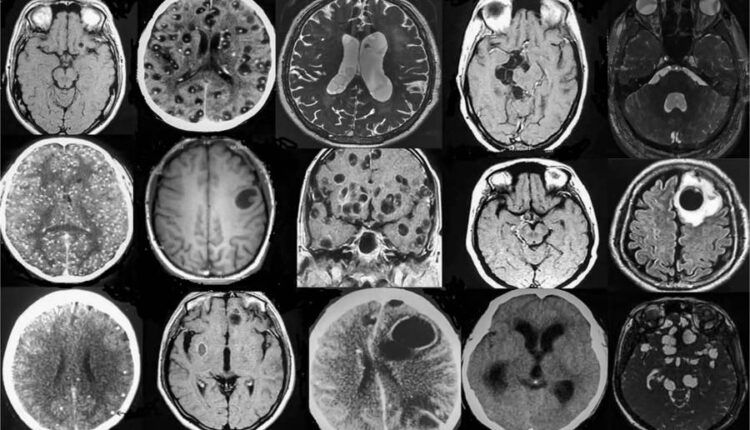
Durante el encuentro a distancia organizado por Sorbonne Université y el Centro de Estudios Mexicanos UNAM-Francia, la neuróloga detalló que el cerebro es el órgano afectado con mayor frecuencia por este padecimiento, aunque su gravedad es variable: “A veces es benigna con pequeños quistes, y otras puede ser muy grave, comprometiendo incluso la vida de los pacientes”.
En el INNN –nosocomio de tercer nivel que recibe pacientes graves– se observa una tendencia progresiva en la edad de los hospitalizados. “Esto se puede interpretar como que hay pocos casos nuevos detectados, y los que tratamos en la actualidad son pacientes que quizá se infectaron hace años y desarrollaron la enfermedad 20 años después”, expuso.
Al abundar, destacó: “En México hay una recopilación de todos los casos derivados de los hospitales públicos, y si hacemos una valoración estadística de todos los hospitales públicos de México, en todo el territorio nacional, vemos claramente una tendencia a la disminución, a la baja”.
En ese sentido, Fleury consideró la noticia como excelente aunque advirtió que es necesario tener precaución porque la estadística se hace sobre casos hospitalizados.
Vanguardia en investigación
La teniasis es una infección intestinal provocada por un parásito conocido como tenia (Taenia solium), que se transmite al ser humano mediante la ingestión de quistes larvarios (cisticercos) presentes en la carne de cerdo poco cocinada.
Los portadores humanos excretan los cisticercos en las heces y cuando defecan al aire libre o en letrinas contaminan el medio ambiente, como ocurre en zonas marginadas con condiciones insalubres. En numerosas ocasiones los cerdos no controlados consumen las heces contaminadas, animales que son comidos por los habitantes de las comunidades rurales.
Tras su ingestión, los huevos de T. solium se transforman en larvas en varios órganos del cuerpo humano, produciendo cisticercosis y cuando alcanzan el sistema nervioso central pueden causar síntomas neurológicos (neurocisticercosis), en particular epilepsia.
Fleury detalló que México ha sido históricamente uno de los países a la vanguardia en la investigación básica y clínica sobre este parásito, así como en las medidas preventivas implementadas.
A partir de los años cuarenta del siglo pasado un grupo de médicos exiliados españoles, entre ellos Dionisio Nieto, trabajaron sobre la cisticercosis y fundaron el Laboratorio de Estudios Médicos y Biológicos de la UNAM, antecedente del actual Instituto de Investigaciones Biomédicas donde un equipo de científicos continúa las investigaciones desde la parte básica y aplicada.
Actualmente existe la Norma Oficial Mexicana para controlar la infección en zonas rurales, la cual ha permeado entre la población para cercar a los cerdos en el campo, tenerlos aislados de las letrinas y e incrementar las medidas de higiene como lavarse las manos y cocer bien los alimentos.
La investigadora universitaria recomendó mantener las medidas de higiene en las comunidades, y contar con información sobre la enfermedad.
TE PUEDE INTERESAR: En segundos y sin contacto, así se contagia la variante Delta de Covid

Con información de UNAM https://www.unam.mx/